Jak poznat zánět zubů moudrosti - příznaky, příčiny a co dělat

  • Domů
  • Jak poznat zánět zubů moudrosti - příznaky, příčiny a co dělat
Jak poznat zánět zubů moudrosti - příznaky, příčiny a co dělat

Kontrola příznaků zánětu zubů moudrosti

Zjistěte, zda máte zánět zubu moudrosti

Odpovězte na následující otázky a získejte doporučení, zda byste měli navštívit zubaře.

Výsledek

0

Zánět zubů moudrosti je jedna z nejčastějších dentálních problémů u mladých dospělých. Pokud cítíte bolest v zadní části úst, oteklé dásně nebo těžké polykání, nemusí to být jen dočasná nepříjemnost. Často jde o zánět, který začíná, když zub moudrosti začíná prorůstat, ale nemá dost místa. To vede k tomu, že se dásně zanícejí, hromadí se tam bakterie a vzniká bolestivý proces, který se jmenuje perikoronaritida.

Co se přesně děje pod dásní?

Zuby moudrosti se obvykle začínají objevovat mezi 17. a 25. rokem života. Většina lidí má čtyři - dva dole a dva nahoře. Ale ne každý má dost místa, aby se tyto zuby mohly správně vysunout. Když se zub snaží prorůst, ale je zablokovaný dásní nebo kostí, vzniká mezi dásní a zubem malý prostor. Tam se začínají hromadit potrava, bakterie a zbytky slin. To všechno se mění na ideální prostředí pro infekci.

Nejčastější příznaky jsou:

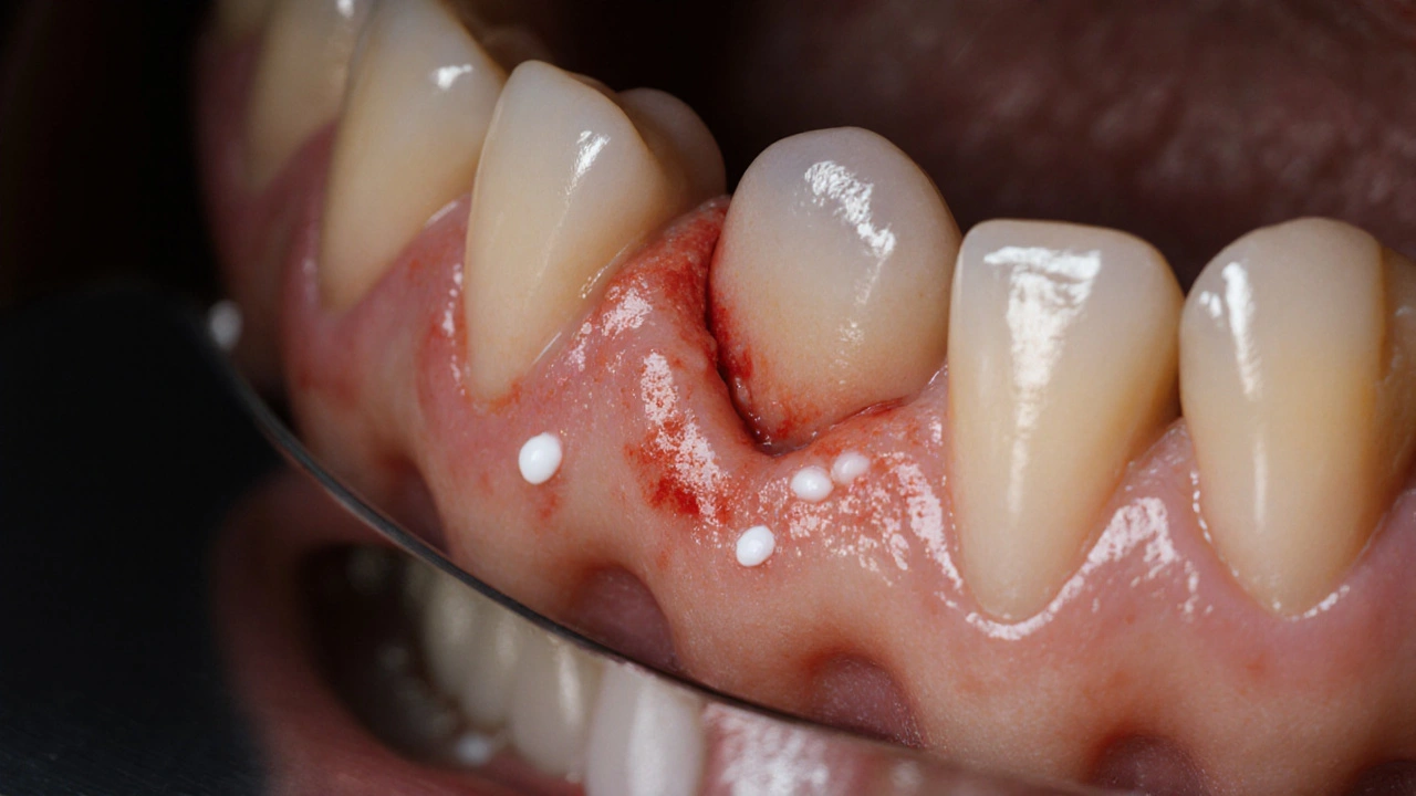
  • bolest v zadní části úst, která se může šířit do ucha, krku nebo hlavy
  • oteklé, červené nebo krvácející dásně kolem zubu moudrosti
  • zápach z úst, i když si čistíte zuby
  • těžkosti při otevírání úst nebo polykání
  • zvýšená teplota nebo pocit zimnice
  • malé bílé nebo žluté skvrnky na dásni nad zubem

Tyto příznaky se často objevují najednou a mohou být tak silné, že vás vzbudí v noci. Někteří lidé si myslí, že to je jen „nějaká zácpa“, ale když to trvá déle než dva dny, není to jen zácpa - je to zánět.

Proč se to stává právě u zubů moudrosti?

Zuby moudrosti jsou poslední, které vyrůstají. Většina lidí má menší čelist než jejich předkové, takže prostor je omezený. Když se zub snaží vyrůst, ale narazí na jiný zub nebo na kost, nevysune se úplně. Zůstane částečně zakrytý dásní - to se říká impaktovaný zub. Dásně nad ním vytvářejí malý „kapsul“, který je těžké čistit. Každý kousek jídla, který tam padne, se tam zadrží. Bakterie se množí, vzniká kyselina, dásně se zanícejí a vzniká infekce.

Nejčastěji se to děje u dolních zubů moudrosti, protože mají složitější polohu a větší pravděpodobnost, že budou blokované. Nahoře se to vyskytuje méně, ale když se stane, může to být stejně bolestivé.

Co můžete dělat doma?

Když začnete cítit první příznaky, nečekáte, až to projde. První krok je čistota. Používejte měkkou kartáček a pečlivě čistěte oblast kolem zubu moudrosti. Nezapomeňte na mezizubní kartáčky nebo vodní floss - ty jsou ideální pro těžko dostupné místa.

Pro dočasné ulevení:

  • plácněte si solným roztokem (1 lžička soli v sklenici teplé vody) 3-4krát denně
  • používejte chladný obklad na tvář, pokud je dásně oteklé
  • vyhýbejte se sladkému, kyselému nebo tvrdému jídlu
  • zvažte přechodně použití bezreceptového léku proti bolesti, jako je ibuprofen (pokud nemáte kontraindikace)

Tyto kroky pomohou zmírnit příznaky, ale neodstraní příčinu. Pokud zánět přetrvává déle než 48 hodin, nebo se objeví hnis, zvýšená teplota nebo neschopnost otevřít ústa, je čas užít zubaře.

Symbolická scéna zubu moudrosti, který se snaží prorůst skrz uzavřenou dásň, s infekcí jako ohněm.

Když to nejde doma zastavit - co dělá zubař?

Zubař nejprve zkontroluje stav zubu a dásní. Použije zrcátko a sondu, aby viděl, jak je zub zakrytý. Pokud je zánět akutní, nebudou vás hned operovat. Nejprve provede:

  • vyčištění oblasti - odstraní zbytky jídla a hnis
  • odporučí silnější antiseptický plácnění nebo gel
  • napíše lék proti zánětu a antibiotikum, pokud je infekce rozšířená

Po zklidnění zánětu (obvykle za 5-7 dní) se rozhoduje o dalším kroku. Pokud je zub špatně umístěný, nebo se opakovaně zaníjí, je jediným trvalým řešením jeho odstranění. To se dělá jako jednoduchá chirurgická procedura pod místním anestetikem. Některé zuby se dají vyjmout během půl hodiny, jiné vyžadují menší operaci, pokud jsou hluboko v kosti.

Nejčastější chyba lidí je odložit návštěvu zubaře. Myslí si, že „to projde“. Ale zánět se může rozšířit do čelisti, krku nebo dokonce do krevního oběhu - to je vážná komplikace, která může vést k hospitalizaci.

Je možné zánět zubů moudrosti předcházet?

Ano. Nejlepší způsob je pravidelná kontrola u zubaře. Doporučuje se věk 16-18 let, kdy se dělá panorámový snímek (orthopantomogram). Ten ukazuje, jak jsou zuby moudrosti umístěny, zda mají dost místa a zda hrozí komplikace.

Nečekáte, až začne bolet. Pokud zubař vidí, že zub bude prorůstat špatně, doporučí jeho odstranění ještě předtím, než se objeví jakékoliv příznaky. To je mnohem jednodušší, méně bolestivé a rychlejší na hojení než léčba zánětu.

Pokud už máte zuby moudrosti, pravidelně si kontrolujte dásně. Pokud cítíte, že vám něco „tlačí“ nebo „kouká“ zezadu, užijte zubaře. Nečekejte na bolest. Časná zákroky znamenají méně problémů, méně léků a rychlejší hojení.

Young adult s bolestí v obličeji s přehledem vnitřního zánětu zubu moudrosti a rentgenovým snímkem.

Co se stane, když to ignorujete?

Ignorování zánětu zubu moudrosti není jen o bolesti. Může vést k:

  • poškození sousedního zubu - zánět může způsobit rozpad zubu vedle zubu moudrosti
  • rozšíření infekce do čelisti - vznik abscesu, který vyžaduje hospitalizaci
  • ztrátu zubu - i zub, který je zdravý, může být ztracen, protože se kolem něj rozšíří infekce
  • zhoršení celkového zdraví - chronické záněty v ústech jsou spojeny s rizikem srdečních onemocnění a cukrovky

Nejhorší případ, který jsem viděl v praxi, byl pacient, který ignoroval zánět po tři měsíce. Infekce se rozšířila do krku a způsobila těžkou hnisavou infekci - musel být přepraven do nemocnice a operován. To se dá snadno vyhnout.

Co dělat, když vás to znovu chytne?

Někteří lidé mají zánět zubů moudrosti opakovaně. To je jasný signál, že zuby nejsou správně umístěné. Pokud se zánět opakuje dvakrát nebo častěji, doporučuji se rozhodnout pro odstranění. Není to „zbytečná operace“. Je to prevence proti opakující se bolesti, lékům a riziku komplikací.

Odstranění zubu moudrosti je dnes běžná a bezpečná procedura. Většina lidí se zotaví za 3-5 dní. Největší riziko je v prvních 24 hodinách - proto se doporučuje vyhýbat se kouření, pití z kouzelného šálku a silného fyzického namáhání.

Pokud máte po operaci bolest, otok nebo krvácení déle než 4 dny, vraťte se k zubaři. To není normální - může to znamenat, že se zahojuje špatně nebo že zůstal kousek zubu nebo dásně.